 
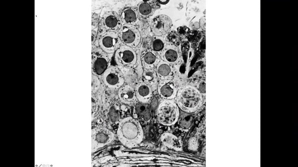
                  Surgically Removed Sperm, a Global View
 
          
        Donate
At the International IVF Initiative, we are committed to providing free access to our educational sessions, webinars, and resources for professionals and individuals passionate about advancing reproductive medicine. We believe that cost should never be a barrier to knowledge and collaboration. By contributing, you’re ensuring that valuable educational resources, expert insights, and collaborative opportunities remain open to all without financial barriers. Together, we can continue to foster a global community dedicated to innovation and excellence in the field of IVF.
Your Donation
Thank you!
Surgically Removed Sperm, a Global View
DR. SHERMAN SILBER
 For over 46 years Dr. Silber has originally developed all of the most popular fertility treatments used all around the world today.
For over 46 years Dr. Silber has originally developed all of the most popular fertility treatments used all around the world today.He performed the world’s first microsurgical vasectomy reversal, as well as the first testicle transplant, in the 70’s and now in the current century, the world’s first ovary transplant. He was the first to develop the TESE and MESA techniques for retrieving testicular and epididymal sperm in azoospermic men. He headed the clinical MIT team that first mapped and sequenced the Y chromosome in infertile men and discovered the now famous DAZ gene for male fertility. His research includes also the study of reproduction and fertility in zoo animals and endangered species. Most recently he has perfected the preservation of fertility for cancer patients with ovarian freezing and transplantation and thereby figured out how to extend the reproductive biological clock of women. He has helped pioneer minimal ovarian stimulation to reduce IVF costs and eliminate complications while maintaining the very highest success rate, even in older women. He heads the clinical team on the CHOSE project to transform skin biopsy cells into eggs and sperm in humans. He has even recently answered the age-old question of why the dinosaurs went extinct by extending his research on male infertility and the Y chromosome, discovering that the change in earth temperature 65,000,000 years ago led to the birth of a skewed male/female sex ratio.
Dr. Silber has treated many thousands of infertile couples who travel to St. Louis daily from all over the world. His patients come from every state in the U.S.A., all over Europe, South America, the Middle East, Asia and Africa.
He is the author of five medical textbooks, five best selling books for the layman and more than 250 scientific papers on human infertility and reproduction.
Dr. Silber went to medical school at the University of Michigan, did post-graduate training at Stanford University, and then again at the University of Michigan. From 1967 to 1969, he provided medical care via the U. S. Public Health Service to Eskimos, Indians, and Aleuts. Then he taught at the University of Melbourne Medical School in Australia, and later at the University of California Medical School in San Francisco. He is a scientific collaborator at MIT in Cambridge, Massachusetts, at the Kato Clinic in Tokyo, and at the University of Kyushu in Japan, and is a full professor at the University of Amsterdam, and at Sun Yat Sen University Medical School in China. His major clinical medical practice is at St. Luke’s Hospital in St. Louis, Missouri.
 
            
          

 
           
           
           
           
           
           
           
           
           
           
           
           
           
           
           
           
           
           
           
           
           
           
           
           
           
           
           
           
           
           
           
           
           
           
           
           
           
           
           
           
           
           
           
           
           
           
           
           
           
           
           
           
           
           
           
           
           
           
           
           
           
           
           
           
           
           
           
           
           
           
           
           
           
           
           
           
           
           
           
           
           
           
           
           
           
           
           
           
           
           
           
           
           
           
           
           
          